Suun sieni-infektio
Mikä aiheuttaa suun sieni-infektion?
Suun sieni-infektion aiheuttaa useimmiten Candida-suvun hiivasieni. Se ei tartu ihmisestä toiseen, vaan taudin aiheuttaja kuuluu jokaisen ihmisen suun normaaliin mikrobistoon.

Kenelle sieni-infektio voi tulla?
Yleisimmin suun sieni-infektio vaivaa hammasproteesin käyttäjiä tai henkilöitä, joilla on huono suuhygienia (puutteellinen hampaiden harjaus tai hammasvälien ja kielen pinnan puhdistus).
Diabeetikoilla ja jatkuvaa kortisonilääkitystä käyttävillä sieni-infektio on yleinen. Myös huono vastustuskyky tai joidenkin antibioottien käyttö altistavat sieni-infektioille.

Miten suun sieni-infektio diagnosoidaan?
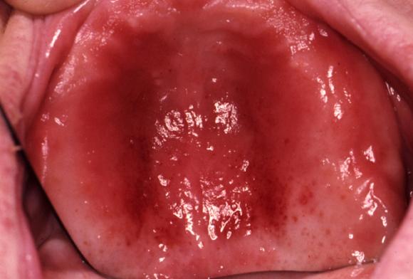
Suun sieni-infektio aiheuttaa usein limakalvojen polttelua, kipua ja arkuutta tai pahanhajuista hengitystä. Hammasproteesin käyttäjillä limakalvoalue proteesin alla on usein hyvin punainen. Myös suupielet saattavat olla arat ja punaiset.
Diagnoosi varmistetaan yleensä tekemällä hiivasoluviljely limakalvolta vanupuikolla otetusta sivelynäytteestä. Joskus diagnoosiin tarvitaan biopsia eli koepala, josta sieni-infektion lisäksi etsitään mahdollisia pahanlaatuisten solujen esiasteita.
Miksi suun sieni-infektio täytyy hoitaa?
Jos sieni-infektiota ei hoideta, se saattaa aiheuttaa jatkuvaa arkuutta suun limakalvoilla. Myös proteesin istuvuus voi huonontua. Pitkäaikainen hoitamaton suun sieni-infektio lisää myös pahanlaatuisen limakalvomuutoksen riskiä.
Miten suun sieni-infektiota voi ehkäistä?
Suu on hyvä pitää mahdollisimman puhtaana. Hampaat ja kieli tulee puhdistaa säännöllisesti. Suu on hyvä myös huuhdella vedellä aina ruokailun jälkeen. Tupakointi altistaa sieni-infektiolle.
Proteesien olisi hyvä olla pois suusta mahdollisimman paljon, ainakin yön yli. Suun limakalvojen täytyy antaa välillä levätä. Proteesit tulee puhdistaa päivittäin, esimerkiksi lämpimällä saippuavedellä ja pehmeällä proteesiharjalla. Lisäksi ne voi desinfioida 0,2-prosenttisella klooriheksidiiniliuoksella, hypokloriitilla tai puhdistukseen tarkoitetuilla poretablettiliuoksilla. Proteesit säilytetään yön yli rasiassa, jonka pohjalla on tilkka vettä.
Ruokavalion puutteet altistavat sieni-infektiolle. Erityisesti proteiinien, vitamiinien (B12-ja C-vitamiinit) ja raudan riittävä saanti kannattaa varmistaa.
Miten suun sieni-infektiota hoidetaan?
Jos hampaiden ja proteesien huolellinen puhdistus ja suuhygienia eivät auta, aloitetaan sienilääkitys. Tavallisesti suun sieni-infektiota hoidetaan paikallisesti annosteltavalla sienilääkkeellä. Joissakin tapauksissa voidaan käyttää myös tabletti- tai liuosmuodossa olevia sienilääkkeitä.
Hammaslääkäri haluaa todennäköisesti lääkehoidon jälkeen vielä tutkia suun varmistaakseen infektion paranemisen. Jos hoito ei ole auttanut, hän saattaa suositella jatkohoitoa, joka joissakin tapauksissa saattaa kestää pitkään.
Proteesipohjan uusiminen muutaman vuoden välein auttaa ehkäisemään proteesistomatiittia eli proteesin alle syntyvää tulehdusta.