Eroosio – hammaskiilteen kemiallinen kuluminen

Hammaseroosio on hampaan pinnan kemiallista liukenemista happojen vaikutuksesta ilman bakteerien mukana oloa. Hapot liuottavat ja pehmentävät hampaan pintaa. Silloin pinta on altis kulumiselle esimerkiksi pureskelun vuoksi, tai jos hampaat harjataan heti happaman nauttimisen jälkeen.

Mitä on hammaseroosio?

Hammaseroosio on hampaan pinnan kemiallista liukenemista joko elimistöstä (röyhtäykset, oksennus) tai sen ulkopuolelta (happamat juomat ja ruoat) tulevien happojen vaikutuksesta ilman bakteerien mukana oloa.

Hapot liuottavat ja pehmentävät hampaan pintaa. Silloin pinta on altis kulumiselle esimerkiksi pureskelun vuoksi, tai jos hampaat harjataan heti happaman nauttimisen jälkeen.

Miten hammaseroosion voi havaita?

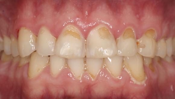
Hammaseroosion merkkejä ovat esimerkiksi hampaiden kuluminen, hammaspintojen himmentyminen, hammaskiilteen alla olevan hammasluun paljastuminen, etuhampaiden kärkien rispaantuminen ja hampaiden vihlominen. Hampaisiin voi tulla laakeita kuoppia (kuten kuvassa alla), ja hampaissa olevat paikat voivat jäädä kiilteen liukenemisen vuoksi hampaan pinnasta koholle (kuten alemmassa kuvassa).

Hammaseroosio laakeita kuoppia
Hammaseroosio purupinnat

Mikä aiheuttaa hammaseroosiota?

Eroosio voi johtua esimerkiksi mahahappojen noususta suuhun (esimerkiksi refluksitaudissa) tai toistuvasta oksentelusta. Vähentynyt syljen eritys altistaa eroosiolle.

Eroosiota voivat aiheuttaa ravintoaineet, jotka ovat happamampia kuin hammaskiilteen kriittinen pH-arvo 5,5. Eroosioriski kasvaa, jos happamia tuotteita nauttii usein.

Esimerkiksi seuraavat tuotteet voivat usein nautittuna aiheuttaa hammaskiilteen eroosiota ja siihen liittyvää erosiivista kulumista:

  • Virvoitusjuomat – sokerilla makeutetut ja myös makeutusaineella makeutetut light- tai kevytjuomat
  • Energia- ja urheilujuomat
  • Maustetut kivennäis- ja vichyvedet
  • Hedelmä- ja marjamehut ja mehujuomat
  • Sitrushedelmät, marja- ja hedelmäsoseet
  • Etikka (esim. yhdessä kasvisruokavalion kanssa)
  • Siiderit, viinit, long drink -juomat, useat alkoholijuomasekoitukset

Tavallinen, maustamaton kivennäisvesi ei aiheuta eroosiota. Myös makeuttamaton kahvi on hampaille turvallinen juoma. 

Miten eroosiota voi ehkäistä?

  • Syö 3–6 kertaa päivässä (välipalat mukaan lukien). Säännöllinen ateriarytmi ehkäisee toistuvia suun pH-laskuja.
  • Napostelun välttäminen aterioiden välillä on tärkeää.
  • Syö marjat, hedelmät ja vihannekset sellaisenaan sen sijaan, että käytät niitä mehuina tai soseina.
  • Paras janojuoma on vesi.
  • Nauti happamat tuotteet aterioiden yhteydessä.
  • Käytä ksylitolituotteita aterioiden jälkeen.
  • Pese hampaat pehmeällä hammasharjalla ja fluorihammastahnalla vähintään 2 kertaa päivässä, mutta ei heti happaman nauttimisen jälkeen.

Voiko happamien tuotteiden haittoja lieventää?

Näin vähennät happamien tuotteiden hampaita syövyttävää vaikutusta:

  • huuhdo suu vedellä tai maidolla happamien tuotteiden käytön jälkeen
  • imeskele ksylitolipastilli aterian ja välipalan jälkeen
  • pureskele pieni pala juustoa happamien tuotteiden käytön jälkeen (se neutraloi happamuutta)
  • nauti happamat tuotteet aterioiden yhteydessä