Hampaiden reikiintymisen ja tukikudosten sairauksien lisäksi yleisiä suun alueen vaivoja ovat esimerkiksi hammasytimen tulehdus, hammaseroosio, purentavaivat, limakalvojen sairaudet ja erilaiset traumat.

Suun sairaudet

Hampaiden ja suun sairaudet

Hammas- ja suusairaudet ovat yleisiä ja usein oireettomia tai vähäoireisia. Suurimmalla osalla aikuisista on suussaan jonkinlainen krooninen tulehdus. Siksi omahoito sekä säännöllinen hammaslääkärin tutkimus ovat tärkeitä.
Suun ja hampaiden tapaturmat

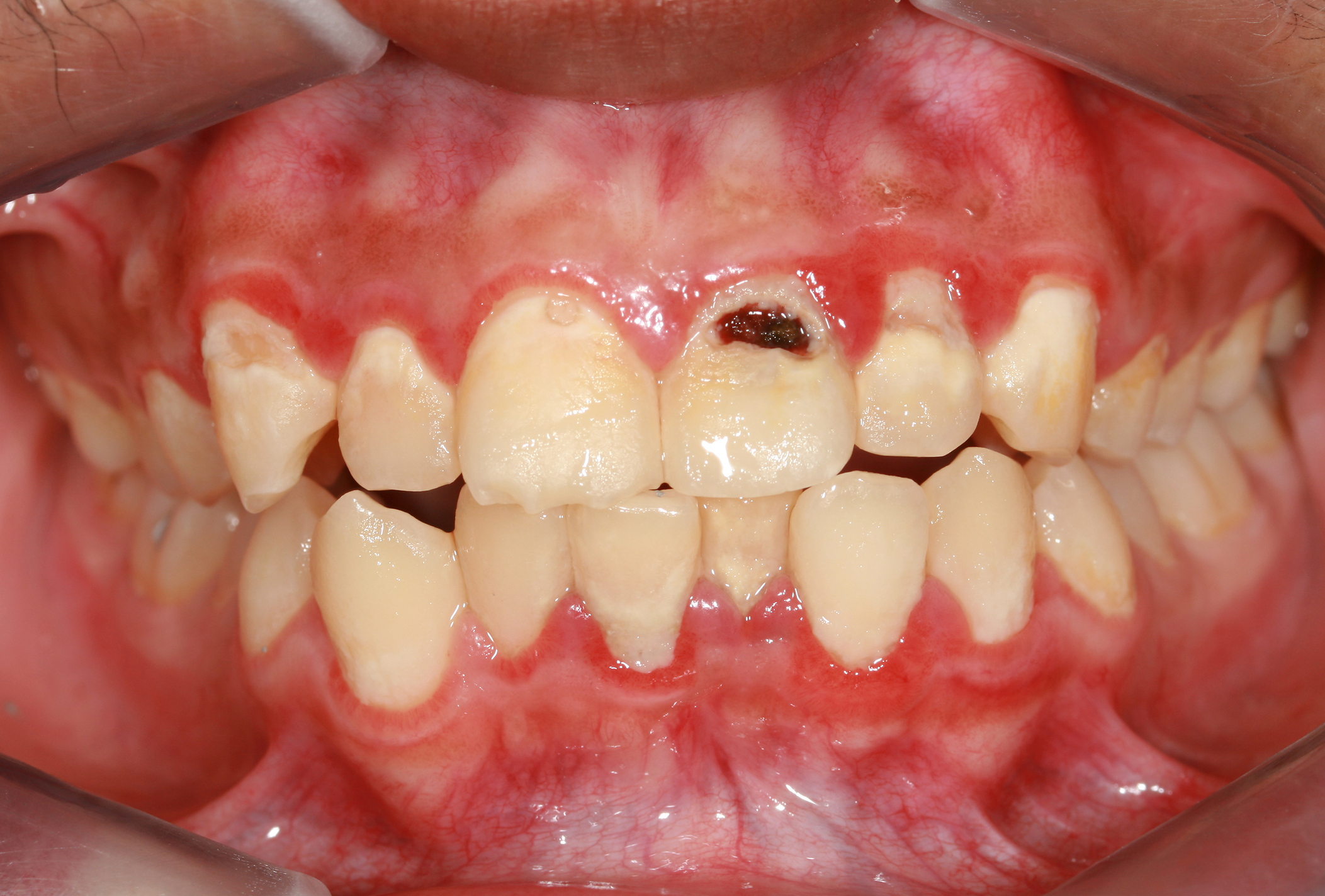
Suun ja hampaiston tapaturmat

Hammastapaturmat jaotellaan hampaan kovakudoksen vammoihin ja hampaan tukikudoksen vammoihin. Leukamurtuma voi syntyä esimerkiksi kaatumisen, lyönnin tai onnettomuuden seurauksena ja vaatii usein leikkaushoitoa.