Suunterveyden ylläpitämiseksi avainasemassa ovat terveelliset elintavat, suun ja hampaiden omahoito sekä säännölliset hammaslääkärin tutkimukset.

Hampaiden harjaus

Hampaiden puhdistus

Puhdista hampaat huolellisesti vähintään kahdesti päivässä fluorihammastahnalla ja pehmeällä hammasharjalla.
Hammasvälien puhdistus

Hammasvälien puhdistus

Muista puhdistaa hammasvälit päivittäin hammasväliharjalla, (harja)tikulla tai hammaslangalla.
Käytä fluorihammastahnaa kaksi kertaa päivässä

Fluoridi

Fluoridi vähentää hampaiden reikiintymistä, koska se estää bakteerien aiheuttamaa hammaskiilteen mineraalien liukenemista.
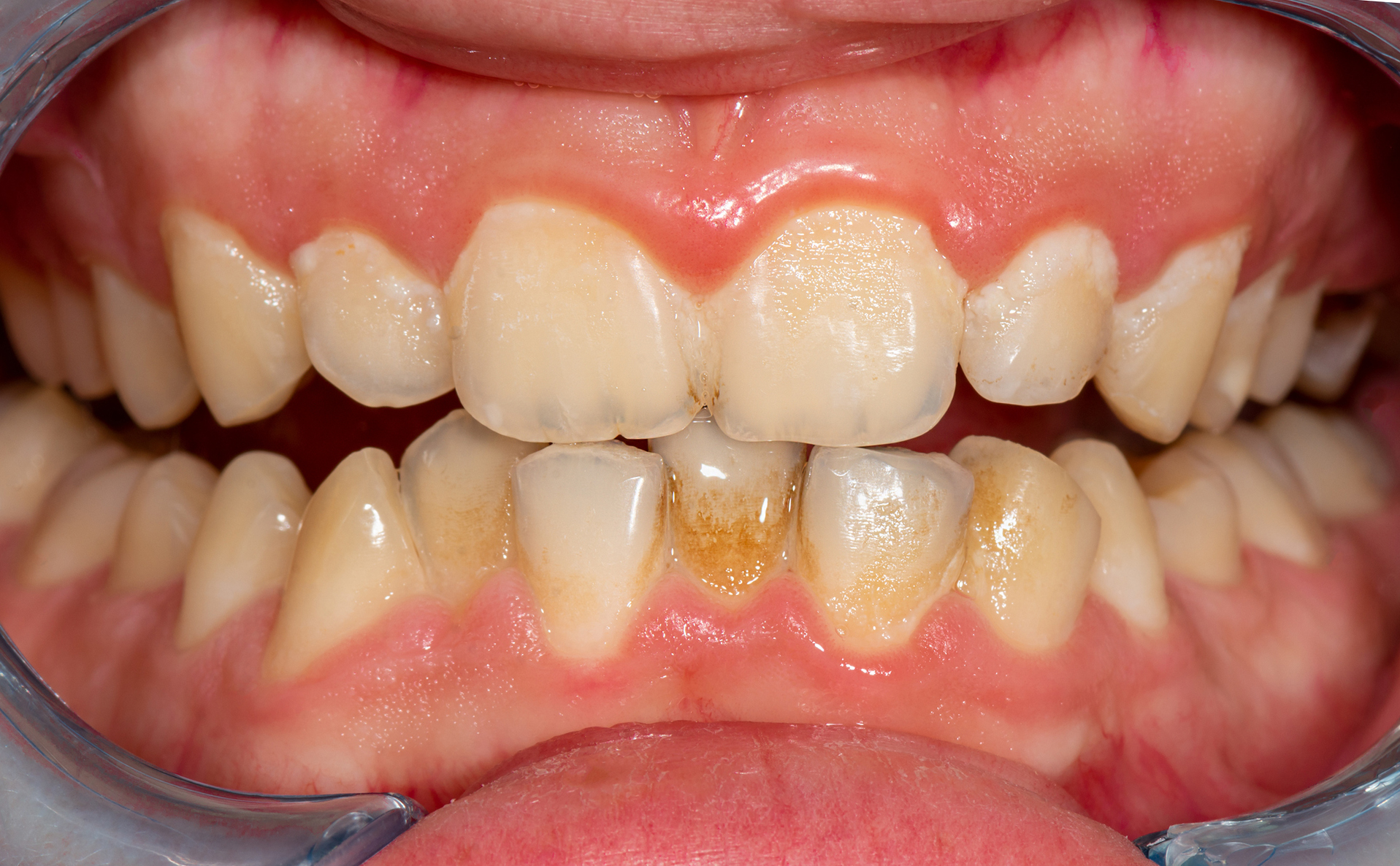
Plakkia ja ientulehdus

Hammasplakki

Hammasplakin bakteerit aiheuttavat tulehduksia, kuten ientulehdusta, hampaiden kiinnityskudosten tulehdusta ja hampaiden reikiintymistä.