Hammas- ja suusairaudet ovat yleisiä ja yleisimmät niistä, kuten karies ja parodontiitti, ovat kroonisia infektiosairauksia. Ne ovat pääosin oireettomia tai vähäoireisia. Suurimmalla osalla aikuisista on suussaan jonkinlainen krooninen tulehdus. Siksi omahoito sekä säännöllinen hammaslääkärin tutkimus ovat tärkeitä.

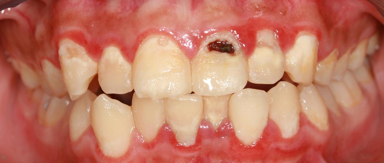
Karies ja hampaan reikiintyminen

Hampaiden reikiintymiselle altistavat riittämätön hampaiden puhdistaminen, fluorihammastahnan käyttämättömyys sekä pitkin päivää jatkuva napostelu.

Gingiviitti – ientulehdus

Bakteeriplakin kerääntyminen ienrajaan ja hammasväleihin aiheuttaa ientulehduksen. Hoitamaton ientulehdus voi johtaa hampaiden kiinnityskudosten tuhoutumiseen, parodontiittiin.

Parodontiitti – hampaan kiinnityksen menetys

Ikenen alle etenevä parodontiittia aiheuttavia bakteereja sisältävä plakki tuhoaa hammasta luuhun kiinnittäviä sidekudossäikeitä.

Hampaiden vihlominen

Hampaan vihlomisen syy on useimmiten hampaan kaula-aluetta peittävän ikenen vetäytyminen. Vihlominen voi olla myös oire hampaan reiästä tai halkeamasta.

Hammasytimen tulehdus

Pitkälle edennyt hampaan reikiintyminen johtaa usein hammasytimen tulehdukseen. Muita tulehduksen syitä ovat esimerkiksi laaja hampaan lohkeaminen tai hampaaseen kohdistunut kova isku.

Hampaasta leviävä tulehdus

Hampaasta leviävän tulehduksen taustalla on yleensä hammasytimen tai hampaan kiinnityskudosten voimakas tulehdus.

Eroosio – hammaskiilteen kemiallinen kuluminen

Hammaseroosio on hampaan pinnan kemiallista liukenemista happojen vaikutuksesta ilman bakteerien mukana oloa.

Purentavaivat

Tavallisimpia purentaelimistöön liittyviä kiputiloja ja toimintahäiriöitä ovat leukanivelen äänet, puremalihasten tai leukanivelen kipu ja rajoittunut suun avaus.

Halitoosi – pahanhajuinen hengitys

Pahanhajuinen hengitys voi johtua esimerkiksi huonosta suuhygieniasta, suun tulehduksesta, kuivasta suusta tai kehon sisäisistä syistä.

Kuiva suu

Syljenerityksen väheneminen ja suun kuivuus voi lisätä esimerkiksi hampaiden reikiintymistä ja eroosiota eli hammaskiilteen syöpymistä sekä sienitulehduksia.

Aftat

Aftat ovat suun limakalvon haavaumia, jotka ovat yleensä kivuliaita tai kutiavia. Aftat eivät ole tarttuvia. Ne paranevat yleensä itsestään noin 7–10 päivässä.

Suun sieni-infektio

Suun sieni-infektio aiheuttaa limakalvojen polttelua, kipua ja arkuutta tai pahanhajuista hengitystä. Vaivalle altistaa hammasproteesin käyttö tai huono suuhygienia.

Lichen planus – punajäkälä

Lichen planus eli punajäkälä näkyy valkoisina, verkkomaisina juovina tai laikkuina symmetrisesti poskien limakalvoilla, kielessä tai ikenillä.

Karttakieli

Karttakielessä (lingua geographica) kielen yläpinnalla, sivuilla ja joskus myös alapinnalla on epäsäännöllisiä, sileitä, punaisia laikkuja, jotka saattavat muistuttaa karttakuvioita ja olla arkoja.

Suupolte

Suupolte aiheuttaa huuliin, kieleen tai suulakeen polttavaa, usein molemmin puolin esiintyvää kipua tai kuuman tunnetta. Vaivaa voi helpottaa ruoan pureskelu, juominen, uni, lepo ja huomion kiinnittäminen toisaalle.

Suusyöpä

Suusyöpä kehittyy yleensä kieleen, suunpohjaan tai ikenelle. Tupakka ja alkoholi lisäävät suusyövän riskiä varsinkin yhdessä käytettyinä.

Seksitaudit suussa

Herpes, kondylooma eli visvasyylä, tippuri, kuppa ja klamydia voivat esiintyä sukuelinten ohella myös suun limakalvoilla. Myös B-hepatiitti voi tarttua suun limakalvojen kautta.

Huuliherpes

Huuliherpes on kipeimmillään ja tartuttavimmillaan rakkulavaiheessa. Peruthan hammaslääkärin tai suuhygienistin hoitoaikasi, jos sinulla on huuliherpesrakkula.