Lichen planus – punajäkälä

Lichen planus eli punajäkälä näkyy valkoisina, verkkomaisina juovina tai laikkuina symmetrisesti poskien limakalvoilla, kielessä tai ikenillä. Punajäkälä on yleensä varsin vähäoireinen. Se on krooninen iho- ja/tai limakalvotauti, jota sairastaa noin 2 % suomalaisista. Tavallisesti licheniin sairastuvat ovat yli 40-vuotiaita, useimmin naisia. Lichen ei ole tarttuva tauti.

Mikä on lichen planus?

Lichen planus eli punajäkälä on krooninen iho- ja/tai limakalvotauti, jota sairastaa noin 2 % suomalaisista. Tavallisesti licheniin sairastuvat ovat yli 40-vuotiaita, useimmin naisia. Lichen ei ole tarttuva tauti. 

Mikä aiheuttaa lichenin?

Lichen planuksen aiheuttajaa ei tarkoin tunneta, mutta sen arvellaan liittyvän kehon immuunijärjestelmän häiriöön. Normaalisti immuunijärjestelmä puolustaa elimistöä ulkopuolisia taudinaiheuttajia vastaan, mutta joskus järjestelmän solut alkavat hyökätä elimistön omia soluja vastaan.

Millaisia oireita lichenissa voi olla?

Lichen planus näkyy yleensä valkoisina, verkkomaisina juovina tai laikkuina symmetrisesti poskien limakalvoilla, kielessä tai ikenillä.

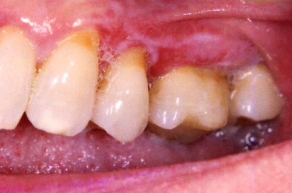
Lichen planus suun limakalvolla

Usein tauti on varsin vähäoireinen, ja se havaitaan vain hammaslääkärin tai suuhygienistin tutkimuksessa.

Lichen voi myös aiheuttaa kipua, polttelua ja/tai arkuutta suun limakalvoilla. Muutokset voivat ilmetä valkoisina tai punaisina alueina, haavaumina tai rakkuloina. Ikenet voivat ohentua ja tulla punaisiksi ja kiiltäviksi. Hampaiden harjaus voi hankaloitua.

Lichen planus ikenissä

Stressi, mausteiset ruuat (varsinkin chili), sitrushedelmät, kuuma ruoka/juoma ja vahvanmakuiset hammastahnat voivat pahentaa oireita.

Toisinaan lichen planukseen liittyy pinnallinen sienitulehdus. Kolmasosalla sairastuneista ilmenee myös iholla pieniä paukamia sekä punoittavaa ja kutisevaa ihottumaa lähinnä ranteissa ja nilkoissa. Hyvin harvoin muutoksia esiintyy nielussa, ruokatorvessa, korvissa tai sukuelimissä.

Miten lichenia hoidetaan?

Jos suumuutoksiin ei liity kipua, hoitoa ei yleensä tarvita. Hyvä suuhygienia (huolellinen hampaiden, hammasvälien ja kielen pinnan puhdistus) on tärkeää, koska se ehkäisee limakalvomuutosten tulehtumista. Bakteeripeitteet ja hammaskivi tulisi poistattaa säännöllisesti ja huolehtia, ettei hampaissa tai paikoissa ole teräviä reunoja.

Kannattaa myös etsiä tekijöitä (esim. ruoka-aineet), jotka pahentavat oireita, ja välttää niitä. Herkille limakalvoille suunniteltuja suunhoitotuotteita voi tarvittaessa käyttää.

Lichen planukseen ei ole parantavaa hoitoa, mutta oireiden lievittämiseen on tarjolla useita vaihtoehtoja. Kotikonsteina voi kokeilla kamomillateetä, suun huuhtelua ruokaöljyllä tai huuhtelua liuoksella, joka valmistetaan sekoittamalla litraan vettä 1/4 tl soodaa ja 1/4 tl suolaa.

Oireita voi lievittää myös paikallisesti käytettävillä reseptivalmisteilla, kuten kortisoneilla. Mikäli licheniin liittyy sienitulehdus, se tulisi hoitaa hammaslääkärin määräämin paikallislääkkein.

Lichen voi pysyä suun limakalvoilla useita vuosia. On hyvä käydä säännöllisesti hammaslääkärin/lääkärin tarkastuksessa taudin seuraamiseksi. Tupakkatuotteita tulee välttää niiden suusyövän riskiä lisäävän vaikutuksen vuoksi.

Jos lichen planus muuttuu selvästi ulkonäöltään tai aiheuttaa aiempaa vaikeampia kipuja, käänny hoitavan hammaslääkärin/lääkärin puoleen.