Seksitaudit suussa
Mitkä seksitaudit voivat esiintyä suussa?
Seksitaudit ovat yleisimpiä nuorilla aikuisilla. Lähes kaikki seksitaudit voivat esiintyä sukuelinten ohella myös suun limakalvoilla: herpes, kondylooma eli visvasyylä, tippuri, kuppa ja klamydia. Myös B-hepatiitti voi tarttua suun limakalvojen kautta.
HIVin esiintyvyys on Suomessa hyvin vähäistä. Lääkityksellä olevat HIV-tartunnan saaneet eivät tartuta HIViä eteenpäin edes veren välityksellä. Vaikka verta vuotavan suun kautta altistus on teoriassa mahdollista, riski saada HIV suusta on hyvin pieni.
Syyhypunkki ja satiaiset eivät tartu suuhun.
Miten seksitaudit tarttuvat suuhun?
Tartunta edellyttää suuseksissä tapahtuvaa suojaamatonta limakalvokontaktia. Tauti voi tarttua sekä sukuelimen limakalvolta suuhun että suusta sukuelimeen.
Mikä aiheuttaa seksitaudin?
Herpes ja kondylooma ovat virusinfektioita. Herpesvirusta on kahta tyyppiä. HSV-1 aiheuttaa yleensä huulessa tai nenänpielessä esiintyvän huuliherpeksen, ja HSV-2 sukupuoliherpeksen. HSV-1:n aiheuttama huuliherpes voi kuitenkin tarttua myös sukuelimiin ja HSV-2:n aiheuttama sukupuoliherpes huuliin. Kondylooman aiheuttaja on papilloomavirus. Kupan, tippurin ja klamydian aiheuttajat ovat bakteereja.
Mitä oireita seksitaudit aiheuttavat suuhun?
Seksitaudit aiheuttavat hyvin erilaisia oireita. Tauti voi olla myös vähäoireinen tai oireeton. Usein tartunnan saakin oireettomalta taudinkantajalta, joka ei edes tiedä sairastavansa seksitautia. Tartunnan jälkeen oireita ei tule heti, vaan taudille tyypillisen itämisajan jälkeen.
Papilloomavirusinfektion oireet vaihtelevat. Suun limakalvoilla voi esiintyä sekä iholle että sukuelinten limakalvoille syyliä aiheuttavia virustyyppejä. Kondylooma voi olla piilevänä täysin oireeton. Se voi myös näkyä suun limakalvoilla kukkakaalimaisina, sileä- tai rosopintaisina, alustastaan koholla olevina muutoksina.
Kupan aiheuttava spirokeettabakteeri tunkeutuu elimistöön vaurioituneen ihon tai limakalvon kautta. 3–4 viikon kuluttua tartuntakohtaan syntyy ns. ensihaava. Se on yleensä aristamaton, kovareunainen ja kiinteän tuntuinen, läpimitaltaan 2–20 mm. Se sijaitsee usein huulessa, kielessä tai nielurisassa. Usein myös leuanalus- ja kaulan alueen imusolmukkeet turpoavat. Ensihaava paranee itsestään.
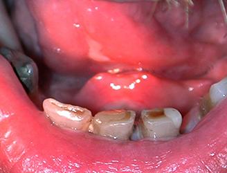
Jos kuppaa ei hoideta, tauti siirtyy piilevään vaiheeseen, kunnes se muutaman kuukauden kuluttua tartunnasta aktivoituu uudelleen. Tässä ns. toisen vaiheen kupassa oireita ei välttämättä aina ole tai ne voivat olla hyvin moninaisia. Suun limakalvoille voi ilmaantua esimerkiksi vaaleita läikkiä (kuvassa alla). Jos tauti jää edelleen hoitamatta, oireet häviävät, ja tauti muuttuu piileväksi jopa vuosikymmenten ajaksi. Kuppa voi kuitenkin myöhemmin taas aktivoitua ja aiheuttaa mm. vakavia hermostovaurioita.

Gonokokkibakteerin aiheuttama nielutippuri on useimmiten oireeton. Se saattaa kuitenkin aiheuttaa kurkkukipua ja imusolmukkeiden turpoamista. Nielurisoihin voi kertyä märkää.
Klamydia esiintyy muita seksitauteja harvemmin suussa ja nielussa, koska klamydiabakteeri lisääntyy huonosti suun limakalvoilla. Nieluklamydia voi olla oireeto, tai se voi aiheuttaa melko vähäisiä oireita, kuten nielun punoitusta ja imusolmukkeiden turvotusta.
Miten seksitautien tarttumisen suuhun voi estää?
Koska seksitaudit tarttuvat suorassa limakalvokontaktissa, ainoa keino estää tartunta on kondomin käyttö myös suuseksissä.
Miten sukupuolitauteja hoidetaan?
Tippuria, klamydiaa ja kuppaa hoidetaan antibiooteilla. Hoidonjälkeinen kontrolli on erittäin tärkeä, jotta paraneminen varmistetaan, eikä tauti jää oireettomana itämään. Näin myös taudin leviäminen saadaan estettyä.
Herpes ja kondylooma ovat virustauteja, joten niitä ei voida hoitaa antibiootein. Lääkitys ei poista herpestä, vaan virus jää piilevänä elimistöön ja voi aiheuttaa herpeksen myöhemmin uudelleen. Monilla esimerkiksi stressi aiheuttaa rakkuloiden ilmaantumisen.
Kondyloomaa ei voi lopullisesti parantaa lääkkeillä, vaan sekin jää piilevänä elimistöön ja voi puhjeta uudelleen. Kondyloomamuutoksia voidaan poistaa jäädytyshoidolla, lääkepenslauksella tai laserilla.