Plakkia ja ientulehdus

Gingiviitti – ientulehdus

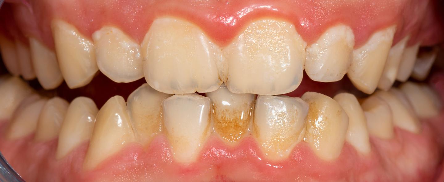
Bakteeriplakin eli biofilmin kerääntyminen ienrajaan ja hammasväleihin aiheuttaa ientulehduksen. Tulehtunut ien on punoittava, usein hieman turvonnut, ja ikenestä vuotaa verta esimerkiksi hampaita harjatessa. Hoitamaton ientulehdus voi johtaa hampaiden kiinnityskudosten tuhoutumiseen, parodontiittiin.

Mikä on ientulehdus?

Ientulehdus on usein ensimmäinen merkki alkavasta hampaan kiinnityskudossairaudesta. Se on bakteerien aiheuttama ienkudoksen tulehdustila, joka voi hoitamattomana johtaa hampaiden kiinnityskudosten tuhoutumiseen, parodontiittiin.

Tehokas omahoito on tärkeintä ientulehduksen hoidossa.

Mitkä ovat ientulehduksen oireet?

Bakteeriplakin eli biofilmin kerääntyminen ienrajaan ja hammasväleihin aiheuttaa ientulehduksen. Tulehtunut ien on punoittava, usein hieman turvonnut, ja ikenestä vuotaa verta esimerkiksi hampaita harjatessa. Usein ientulehdus aiheuttaa myös pahaa makua ja pahanhajuista hengitystä.

Verenvuoto ikenistä on aina tulehduksen merkki.

Miten ientulehdusta voi ehkäistä tai hoitaa?

Ientulehdusta voi ehkäistä pitämällä hampaiden kaikki pinnat puhtaana bakteeriplakista. Itsehoitoon kuuluu säännöllinen hampaiden puhdistus pehmeällä hammasharjalla vähintään kaksi kertaa päivässä. Ienrajojen huolellinen puhdistaminen on tärkeää. Hammasvälit tulee puhdistaa päivittäin hammasväliharjalla, (harja)tikulla tai hammaslangalla.

Isompiin hammasväleihin sopivat erikokoiset hammasväliharjat ja harjatikut. Ahtaimmat hammasvälit puhdistetaan hammaslangalla.

Omahoito on tärkeintä ientulehduksen hoidossa. Jos ien vuotaa verta hampaita harjatessa, puhdista aluetta tavanomaista useammin ja tarkemmin muutaman päivän ajan. Kun bakteeriärsytys vähenee, verenvuoto ikenistä yleensä loppuu.

Lue lisää ientulehduksen hoidosta.

Säännöllinen hammaslääkärin tekemä hampaiden kiinnityskudosten tutkimus on tärkeää. Ientulehduksen mahdollinen eteneminen hampaiden kiinnityskudosten tuhoutumista aiheuttavaksi parodontiitiksi tulisi havaita jo alkuvaiheessa. Näin tauti on mahdollista saada pysäytettyä, eikä kudosvaurioita pääse syntymään.

Mitä on hammaskivi?

Hammaskiveä muodostuu, kun hampaiden pinnoilla olevaan bakteeriplakkiin saostuu syljestä mineraaleja.

Hammaskivi on kovettunutta bakteeriplakkia, joka ei lähde harjaamalla pois. Hammaskivi muodostaa karhean pinnan, johon bakteerien on helpompi kiinnittyä. Hammaskiveä voi muodostua myös ientaskuun.

Bakteeripeitteiden ja hammaskiven poisto ehkäisee osaltaan hampaiden kiinnityskudoksen tulehdusta. Hammaslääkäri tai suuhygienisti poistaa hammaskiven yleensä ultraäänilaitteella ja/tai käsi-instrumenteilla.