
Hammasimplantit
Mitä implanttihoito tarkoittaa?
Implantti on leukaluuhun kiinnitettävä, yleensä titaanista valmistettu keinojuuri. Se kiinnittyy ympäröivään leukaluuhun muutamassa kuukaudessa. Implantteihin voi kiinnittää esimerkiksi kruunuja, siltoja tai irtoproteeseja.
Implanteilla voidaan korvata proteettisesti yksi hammas tai useita hampaita. Myös hampaattoman leuan kokoproteesi voidaan korvata implanttisillalla, tai proteesi voidaan kiinnittää implanttijuuriin.

Kenelle implantteja voi laittaa?
- Implantointialueella pitää olla riittävästi luuta. Tarvittaessa luuta voidaan lisätä luusiirteillä tai luun korvikkeilla.
- Yleisterveyden on oltava riittävän hyvä. Esimerkiksi epätasapainoinen diabetes tai tupakkariippuvuus voi estää hoidon.
- Suunterveyden on oltava riittävän hyvä, ja esimerkiksi hampaiden kiinnityskudossairauksia (parodontiitti) ei saisi olla.
- Suuhygienian on oltava riittävän hyvä. Implantit vaativat säännöllisen, huolellisen puhdistuksen.
- Implantteja ei kiinnitetä, jos leukojen kasvu on vielä kesken.
Miten implanttihoito tehdään?
- Ensin tehdään suun kliininen ja röntgenologinen tutkimus ja siihen pohjautuva hoidon suunnittelu.
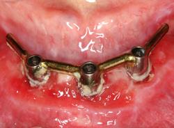
- Mahdollisten luusiirteiden asettamisen jälkeen titaaniruuvit eli fikstuurat kiinnitetään leukaluuhun leikkauksessa.
- Yhtä hammasta varten tarvitaan yksi titaaniruuvi ja useampaa hammasta varten 2–4. Täysin hampaattomaan leukaan laitetaan tavallisesti 4–6 ruuvia. Toimenpide kestää noin 0,5–2 tuntia, ja se tehdään yleensä paikallispuudutuksessa.
- Jotta ruuvit saavat rauhassa kiinnittyä leukaluuhun, irtoproteesin käyttäjän on varauduttava olemaan ilman proteesia 1–2 viikkoa. Jos omia hampaita on jäljellä, tämän ajan voi käyttää tilapäistä hammassiltaa tai irtoproteesia. Paranemisvaihe kestää tavallisesti 2–6 kuukautta.
- Usein ruuvissa on valmiina limakalvon läpi tuleva paranemisjatke. Jos jatketta ei ole laitettu, tarvitaan vielä noin 2 viikkoa ennen proteettisen hoidon aloitusta pieni leikkaus. Siinä ikenen alle jätetyn implantin ylin osa paljastetaan ja implanttiin asetetaan limakalvon läpäisevä paranemisjatke.
- Paranemisvaiheen jälkeen aloitetaan kruunun, hammassillan tai irrotettavan proteesin valmistus ottamalla tarvittavat jäljennökset. Proteesin valmistus vaatii yleensä muutaman hoitokäynnin.
- Uusia implanttihampaita pitää hoitaa yhtä huolella kuin omia hampaita ja ne on tutkitutettava säännöllisesti hammaslääkärillä.
Miten hoidan implanttihampaita?
Hammasimplantteja tulee hoitaa vähintään yhtä huolellisesti kuin omia hampaita. Ne puhdistetaan vähintään kaksi kertaa päivässä hammasharjalla. Välipinnat puhdistetaan lisäksi hammasväliharjalla, (harja)tikulla tai hammaslangalla.
Irrotettava implanttiproteesi puhdistetaan hammasproteesiharjalla. Samalla puhdistetaan irrotettavan proteesin alla olevat implantit hammasharjalla.
Implanttien tilanne pitää tarkistaa säännöllisesti hammaslääkärillä aivan kuten omien hampaiden tilanne. Samalla hammaslääkäri tai suuhygienisti tekee tarvittaessa implanttialueiden ammattimaisen puhdistuksen. Heiltä saa myös ohjeet mahdollisesti tarvittavista erityispuhdistusvälineistä.
Miksi implanttihoito voi epäonnistua?
- Joskus leukaluuhun asetettu implantti ei luudu kunnolla leukaluuhun. Nykyisin ongelma on kuitenkin melko harvinainen.
- Implanttihoito voi epäonnistua, jos suuhygienia ei ole riittävä.
- Myös tupakointi on implanttihoidon epäonnistumisen riskitekijä.
- Ongelmia voivat aiheuttaa myös riittämätön seuranta ja ylläpitohoito.
- Joskus implantti menetetään liian kuormittavan purennan vuoksi.
- Muutokset yleisterveydessä voivat joskus vaikuttaa implanttihoidon onnistumiseen.
Mitkä ovat implanttien yleisimmät ongelmat?
Yleisin ongelma on implanttia ympäröivän pehmytkudoksen tulehdus, perimukosiitti (kuvassa alla). Se vastaa hampaan ympärillä olevaa ientulehdusta, gingiviittiä.

Hoitona on tulehtuneen alueen puhdistuksen parantaminen, huolellinen harjaus ja hammasvälien puhdistaminen. Jos tämä ei riitä, alue voidaan puhdistaa ammattimaisesti hammashoitolassa, josta annetaan samalla kotihoito-ohjeistus.
Jos tulehdus pääsee etenemään implanttia ympäröivään leukaluuhun, syntyy peri-implantiitti. Se vastaa hampaan ympärillä olevaa kiinnityskudostulehdusta, parodontiittia. Implanttia ympäröivä luu alkaa yleensä tuhoutua kraatterimaisesti, jolloin implantin kiinnitystä menetetään.
Peri-implantiitti vaatii hammaslääkärin hoitoa. Peri-implantiitin pysäyttäminen on usein haasteellista. Huolellinen omahoito on ratkaisevan tärkeää implantin säilymiselle. Implantin menettäminen on erittäin todennäköistä, jos se on jo alkanut liikkua.
Kuvassa alla vasemmalla puolella terve hammasimplantti – oikealla plakkia ja vetäytynyt, tulehtunut ien sekä luukatoa eli peri-implantiitti.
